LOADING PLEASE WAIT..

Preventive

Maintain optimal oral health with preventive dentistry in Dubai at Dr. AL Dental Clinic. Our expert dentists provide teeth cleaning, topical fluoridation, pit and fissure sealants, and night guards/splints to protect your smile and prevent dental issues.

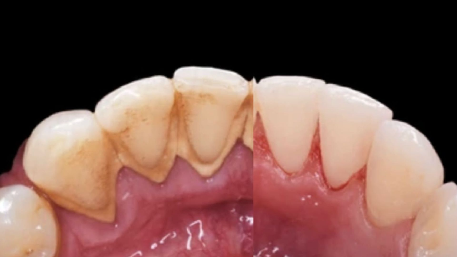
Tooth Cleaning (Scaling & Polishing)

Maintain healthy teeth and gums with tooth cleaning in Dubai at Dr. AL Dental Clinic. Our scaling and polishing treatment removes plaque and calculus, preventing gum disease and inflammation for a cleaner, brighter smile.

Tooth Cleaning (Scaling & Polishing)

Topical Fluoridation

A treatment that involves applying fluoride solutions and gels to promote re-mineralization of enamel.

Topical Fluoridation

Pit and Fissure Sealants

A procedure that applies thin plastic coatings to the grooves on the chewing surfaces of the back teeth to protect them from tooth decay.

Pit and Fissure Sealants

Night Guard/Splint

A treatment for patients with parafunctions like grinding of teeth causing severe muscle pain and tooth wear.

Night Guard/Splint
WhatsApp Call Google Maps